Got questions or need to book an appointment? We're here to help! Chat with us directly on WhatsApp at 019 219 1616.   We're Open: Evening Paediatrics Clinic, Every Monday (excluding Public Holiday), 6:00–9:00 PM | Book Now → +603 7839 9801

Contact Lens Related Disease

Smiling patients at Eyecentric, eye specialist in Malaysia

Contact Lens Related Disease

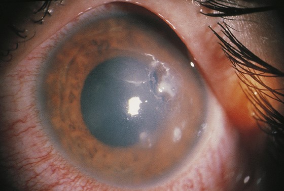
Keratitis is the most common eye infection from wearing contact lenses. When the cornea becomes infected, in some cases, it can scar the cornea, affecting your vision or cause a perforation.

Admission for antibiotic treatment may be needed if a corneal ulcer is large. If antibiotic fails, corneal cross-linking may be needed. If the cornea is severely scarred, a corneal transplant may be needed to eliminate damage from the eye infection and have clear vision again.

Contact Lens Related Disease

Keratitis is the most common eye infection from wearing contact lenses. When the cornea becomes infected, in some cases, it can scar the cornea, affecting your vision or cause a perforation.

Admission for antibiotic treatment may be needed if a corneal ulcer is large. If antibiotic fails, corneal cross-linking may be needed. If the cornea is severely scarred, a corneal transplant may be needed to eliminate damage from the eye infection and have clear vision again.

What Causes Contact Lens Infections?

There are a number of things that can cause a contact lens-related infection. Some causes of infection may include:

  • using extended-wear lenses
  • sleeping with your contact lenses overnight
  • having microbes and protein build up under the lens
  • herpes virus
  • bacteria, fungi, or parasites
  • not keeping lenses or cases clean, or reusing or topping off contact lens solution

General appearance of superficial punctate keratitis under slit-lamp examination

Symptoms of contact lens-related infections include:

  • blurry vision
  • unusual redness of the eye
  • pain in the eye
  • tearing or discharge from the eye
  • being extra sensitive to light
  • feeling like there is something in your eye

Some contact lens-related eye infections can cause serious vision loss or even blindness. If you have any of these symptoms, it is important to see your eye doctor as soon as possible.

Meet our Specialist

Dr Ainur Rahman Dato Setia Dr Anuar Masduki

Designation
Consultant Ophthalmologist and Corneal Surgeon
Specialty
Ophthalmology